Dentosophie in der modernen Zahnmedizin

Zahnmedizin, die wirkt. Ein Business, das befreit.

Komplexe funktionelle Muster bleiben im Alltag oft unentdeckt und führen zu Atem-, Zungen- oder Entwicklungsproblemen. Dentosophie hilft Dir zu verstehen, wo diese Beschwerden entstehen und wie Du die Entwicklung gezielt unterstützen kannst.

Für Patienten:
Dr. Silke Waggershauser Portraitfoto

Dr. Silke Waggershauser

Zahnärztin und Erfinderin der Dentosophie in Deutschland

20+
Jahre

Interdisziplinäre zahnmedizinische Erfahrung

500+
Praxen

Arbeiten erfolgreich mit der Methode

10.000+
Zähne

im DACH-Raum gerichtet

Bekannt aus

Was ist Dentosophie?

Dentosophie untersucht, wie Menschen kauen, wie sie den Mund schließen und welche Kräfte dabei im Kiefer wirken. Die Methode bezieht auch Schluckmuster und die Arbeit der Lippen und Wangen ein.

Zusätzlich erfasst sie, wie gleichmäßig Bewegungen ablaufen, wie sich die Spannung der Muskulatur verteilt und welche Kontaktpunkte beim Kauen entstehen. Sie betrachtet all diese Abläufe gemeinsam und zeigt, wie sie sich gegenseitig beeinflussen. Dadurch wird deutlich, warum sich Dentosophie gut in die ganzheitliche Zahnmedizin einfügt.

  • Beobachtet Kauverhalten und Muskelkraft
  • Analysiert Schluckmuster und Mundschluss
  • Erfasst Spannung und Bewegungsrhythmus
  • Bezieht Lippen und Wangen in die Betrachtung ein

3 Schritte im Behandlungsprozess

Jeder Schritt erfüllt eine eigene Aufgabe und führt Dich klar durch den Prozess.

1. Beobachtung der Grundfunktionen

Im ersten Schritt untersucht die Dentosophie, wie eine Person den Kiefer bewegt, welchen Druck sie beim Kauen aufbaut und wie der Mund im Ruhezustand geschlossen wird. Dabei spielen auch der Schluckvorgang, die Lippenkraft und die Arbeit der Wangen eine Rolle. Die Beobachtung zeigt, ob Bewegungen gleichmäßig bleiben, ob Seiten unterschiedlich arbeiten und welche Gewohnheiten den Ablauf formen.

2. Übungen für sichere Bewegungsabläufe

Im zweiten Schritt nutzt die Dentosophie Übungen, die Kaudruck, Muskelkraft und Wiederholgenauigkeit bewusst trainieren. Die Bewegungen folgen klaren Vorgaben, damit Tempo, Richtung und Kraftverteilung stabiler werden. Jede Einheit zeigt, wie gut die Person die Bewegungen führt, ob sie gleichmäßig bleibt und wie viel Kontrolle sie im Mund- und Kieferbereich aufbaut.

3. Feinabstimmung während der Veränderung

Im dritten Schritt passen die Übungen an das an, was bereits zuverlässig funktioniert. Bewegungen, die klar geführt werden, erhalten neue Varianten, während schwächere Seiten mehr Training bekommen. So kannst Du sehen, wie gut beide Kieferseiten zusammenarbeiten, wie sich der Kaudruck verteilt und wie flüssig die Bewegungen im Mundraum ablaufen.

Wobei hilft Dentosophie?

Wobei hilft Dentosophie 1
Muskelfunktionsstörungen & Bruxismus
Wobei hilft Dentosophie 2 1
Kieferfehlstellungen
Wobei hilft Dentosophie 3
CMD-Begleitung
Wobei-hilft-Dentosophie-4-2
Schlafbezogene Atmungsprobleme
Wobei hilft Dentosophie 5
Kinder mit Entwicklungsdefiziten
Wobei hilft Dentosophie 6
Betroffene mit Funktionsstörungen

Ergebnisse aus der Praxis

Dentosophie verändert sichtbare Abläufe im Mund- und Kieferbereich. Die Beispiele zeigen Dir, wie sich bestimmte Bewegungen und Haltungen während der Arbeit anpassen und welche Unterschiede im direkten Vergleich erkennbar werden.

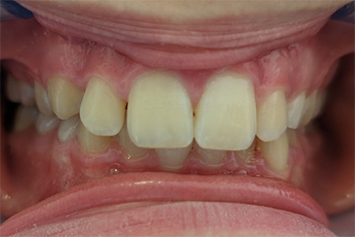
VORHER
Tiefer Biss.
Dentosophie 7 Jahreskontrolle Vorher
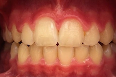
NACHHER
Bisshebung, Zahnbogen ausgeformt.
Dentosophie 7 Jahreskontrolle Nachher
VORHER
Tiefer Deckbiss, ausgeprägte Angle-Klasse II-2.
KopieKopieKopieKopieKopieKopieKopie Dentosophie 10 sagittale Stufe Vorher Kopie
NACHHER
Zwischenergebnis, deutliche Bisshebung.
KopieKopieKopieKopieKopieKopieKopie Dentosophie 10 sagittale Stufe Nachher Kopie

Was Patienten über ihre Erfahrungen berichten

Patienten berichten, wie sich ihr Alltag verändert hat, seit sie bestimmte Bewegungen im Mund bewusster einsetzen können. Die Beispiele zeigen verschiedene Ausgangssituationen und was sich durch die Arbeit mit Dentosophie Schritt für Schritt verbessert hat.

„Plötzlich konnte sie den Mund ohne Anstrengung schließen.“

Anna L., Mutter eines 7-jährigen Kindes

Unsere Tochter hatte lange Mühe, den Mund entspannt zu schließen. Mit den Übungen hat sie gelernt, ihre Zunge richtig abzulegen und die Lippen zu halten, ohne ständig daran erinnert zu werden. Seitdem wirkt ihr Gesichtsausdruck ruhiger und das Atmen fällt ihr deutlich leichter.

„Er kaut jetzt gleichmäßig und isst wieder ohne Stress.“

Sabine P., Mutter eines 11-jährigen Jungen

Mein Sohn hat immer auf einer Seite gekaut und ständig Essen im Mund hin- und hergeschoben. Durch die Übungen hat er gelernt, beide Seiten gleichmäßig zu nutzen. Das Essen dauert nicht mehr ewig und er fühlt sich in der Schule viel wohler, weil er nicht mehr ständig nachjustieren muss.

„Ich merkte zum ersten Mal, wie viel Druck ich im Kiefer aufgebaut habe.“

Martin S., 42 Jahre

Seit Jahren hatte ich Zahnschmerzen durch Knirschen und einen dauerhaft angespannten Kiefer. Trotzdem war mir nie bewusst, wie sich das anfühlt. Durch die Übungen konnte ich Druck abbauen und meine Bewegungen besser steuern. Seitdem sind Tage ohne Spannung deutlich häufiger.

„Ich wusste vorher gar nicht, dass man schlucken lernen kann.“

Laura K., Mutter einer 15-jährigen

Meine Tochter hat beim Schlucken oft die Wangen eingezogen oder nach oben gedrückt. Heute spürt sie viel besser, was im Mund passiert und schafft das Schlucken ohne Ausweichbewegungen. Das hat ihr Selbstgefühl gestärkt, weil sie jetzt versteht, was in ihrem Körper passiert.

Dentosophie für Zahnärzte

Dentosophie ergänzt Deine tägliche Arbeit um Beobachtungen, die im normalen Praxisablauf oft zu kurz kommen. Sie verbindet funktionelle Sichtweisen mit Ansätzen der alternativen Zahnmedizin, ohne den medizinischen Standard zu verlassen.

Du erkennst, wie bestimmte Bewegungen den Verlauf beeinflussen und erhältst ein Werkzeug, mit dem Du Entwicklungen früher einschätzt und Gespräche mit Patienten deutlicher führst.

  • Macht sichtbar, welche Funktionen den Verlauf beeinflussen
  • Liefert eine nachvollziehbare Basis für therapeutische Entscheidungen
  • Erleichtert Gespräche über Befunde und nächste Schritte
Dentosophie Zahnärztin

Was Dentosophie in Deiner Praxis möglich macht

Klinischer Fortschritt

Dentosophie erweitert Deine diagnostische Sichtweise und macht funktionelle Entwicklungen erkennbar. Du arbeitest mit einem Verfahren, das Verläufe strukturiert darstellt und Dir ermöglicht, komplexe Fälle sicher zu führen und gleichzeitig den Ablauf stabil zu halten.

Wirtschaftlich sinnvoll

Die Methode lässt sich strukturiert in Deinen Praxisalltag integrieren und unterstützt Dich mit klar planbaren Schritten. Viele Aufgaben können delegiert werden, wodurch Dein Team aktiv eingebunden wird und Du wirtschaftlich effizient arbeitest, während die Abläufe übersichtlich bleiben.

Entlastung in der Praxis

Durch die systematische Herangehensweise entstehen weniger ungeplante Korrekturschleifen und Du begleitest Verläufe mit deutlich mehr Übersicht. Dein Team profitiert von festen Strukturen und Du gewinnst mehr Ruhe in Behandlungen, die vorher viel Energie gekostet haben.

Was glückliche Zahnärzte berichten

Patienten berichten, wie sich ihr Alltag verändert hat, seit sie bestimmte Bewegungen im Mund bewusster einsetzen können. Die Beispiele zeigen verschiedene Ausgangssituationen und was sich durch die Arbeit mit Dentosophie Schritt für Schritt verbessert hat.

Dentosophie hat uns wirtschaftlich nach vorn gebracht.
Wir haben schon viele, viele Patienten glücklich gemacht. Denn plötzlich hatten wir Dinge an der Hand, die uns vorher gefehlt haben. Die hybride Ausbidlung ist perfekt, weil du nie allein bist und immer Fragen stellen kannst. Dadurch kommt man in die Umsetzung und die Dentosophie hat uns wirtschaftlich nach vorn gebracht.

Thomas Dorlöchter

Zahnarzt

Selbst Fälle, die trotz Logopädie und Physio stagnieren, kommen zum Erfolg.

Mit dieser Methode finde ich endlich Lösungen für Patient:innen, denen ich mit dem Wissen aus dem Studium nicht helfen konnte. Selbst Fälle, die trotz Logopädie und Physio stagnieren, waren nun erstmals für mich einordbar. Mich begeistert, wie kleine Veränderungen Großes bewirken. Als Mutter war die flexible Ausbildung ideal – ich konnte mich jederzeit einloggen und direkt in die Umsetzung gehen.

Melanie Linder

Zahnärztin - Schwerpunkt Kinder

Meine wirtschaftliche Situation hat sich komplett neu ausgerichtet.
Ich kann Kinder viel früher funktionell begleiten und unabhängig von der klassischen Kieferorthopädie therapieren. Mit der Dentosophie habe ich ein wirtschaftlich wertvolles Tool, das ich allein und ohne Assistenz anwenden kann – gerade in Zeiten von Personalengpässen. Das Curriculum hat mir neues Wissen und einen erweiterten Blick auf den Menschen eröffnet – weit über den Mund hinaus – und ich konnte direkt nach dem Präsenztag starten.

Dr. Maren Koch

Zahnärztin - Schwerpunkt Kinder & Jugendliche

Dinge die ich im Mund sehe kann ich plötzlich in völlig andere Zusammenhänge bringen
Grade bei den Kindern, kann ich endlich die Lücke schließen zwischen Zahnheilkunde und Kieferorthopädie. Und auch bei Erwachsenen haben wir heute deutlich mehr Handlungsoptionen im Umgang mit ihren Symptomen.. Wir haben jetzt ein Tool an der Hand, das so simpel ist und gleichzeitig so eine deutlich veränderte Herangehensweise im Praxisalltag bringt.

Tina Dorlöchter

Zahnärztin, Kinderzahnärztin, Heilpraktikerin

Das Curriculum: Dein Weg zur praktischen Anwendung

Damit Dentosophie für Dich im Alltag funktioniert, führt Dich die Ausbildung durch alle wichtigen Schritte. Du entwickelst das Verständnis und die Praxis, um die Methode sicher anzuwenden.

  • Aufbau in 6 Modulen
  • Online & Präsenz kombiniert
  • Praxisnahe Übungseinheiten
  • Begleitung & Community
  • 500+ Praxen geschult
Dr. Silke Waggershauser
Dentosophie Zahnärzte
Therapie Anwendung

Dr. Silke Waggershauser: Pionierin der Dentosophie

Glaub mir: Ich kenne den anspruchsvollen Alltag einer Zahnarztpraxis. Lösungen für Patient:innen zu finden und trotzdem bremsen Dich Budgetgrenzen, Kassenlogik und die blinden Flecken der Routine. Genau dort stand ich selbst.

In meiner Zeit in Spanien habe ich die Dentosophie als myofunktionelle Methode kennengelernt. Der fehlende Baustein war für mich das Kauen. Gedacht im Dreiklang mit Atmung und Zungenlage. Daraus entstand eine Methode, bei der Du in kürzester Zeit erkennst, wo Beschwerden ihren Ursprung haben und welcher Schritt sinnvoll ist.

Die Wirkung war unmittelbar: schnellere, stabilere Verläufe, weniger Rückläufe, angenehmere Termine. Die Planung wurde ruhiger, die Patientenführung bewusster.

Heute arbeite ich nicht mehr am Behandlungsstuhl, sondern an Ausbildung, Strategie und Vernetzung. Ich habe die Dentosophie in Deutschland, Österreich und der Schweiz etabliert, die deutschsprachige Gesellschaft für Dentosophie gegründet und Hunderte Praxen auf diesen Weg gebracht.

Dr. Silke Waggershauser

Dr. Silke Waggershauser

FAQ: Antworten für Patienten und Zahnärzte

Für Zahnärzte

Wie läuft das Curriculum ab?

Das Curriculum führt Dich schrittweise durch sechs Module. Du lernst zuerst die Grundlagen, wendest dann die Methode praktisch an und vertiefst sie im Präsenzteil. Online-Inhalte, Übungseinheiten und persönliche Begleitung unterstützen Dich während des gesamten Prozesses.

Wie integrierst Du Dentosophie in Deinen Praxisalltag?

Du startest mit wenigen klaren Elementen, die sich gut an bestehenden Abläufen anlehnen. Viele Schritte lassen sich delegieren und die Ausbildung zeigt Dir, wie Du ein strukturiertes Vorgehen etablierst, ohne Deinen Alltag zu überlasten.

Was brauchst Du, um mit Dentosophie zu starten?

Du benötigst den Balancer, die Anleitung für die Übungen sowie die Grundlagen des Funktionschecks. Alles Weitere erhältst Du im Curriculum, inklusive Dokumentationshilfen sowie Praxisabläufen.

Für Patienten

Was passiert in einer dentosophischen Behandlung?

Du übst Bewegungen, die Mundschluss, Schlucken und das Kauen ordnen. Viele Praxen nutzen dafür den Dentosophie-Trainer (Balancer/Aktivator), der die Bewegungen im Kiefer unterstützt. Die dentosophische Behandlung kombiniert Beobachtung, Training sowie Anpassung. So siehst Du Schritt für Schritt, wie sich die Abläufe im Mund verändern.

Wobei kann Dentosophie helfen?

Dentosophie setzt an, wenn bestimmte Bewegungen im Mund nicht stabil laufen. Dazu gehören offener Mund, einseitiges Kauen, Schwierigkeiten beim Schlucken, Probleme mit der Zungenlage oder funktionelle Beschwerden wie Zähneknirschen (Bruxismus) und muskuläre CMD-Symptome. Auch leichte Kieferfehlstellungen können dazugehören, wenn sie sich ohne OP über bessere Bewegungsabläufe beeinflussen lassen. Die Methode arbeitet dabei an den Abläufen, die solche Beschwerden auslösen oder verstärken.

Für welches Alter ist Dentosophie geeignet?

Kinder, Jugendliche und Erwachsene können mit Dentosophie arbeiten. Entscheidend ist nicht das Alter, sondern wie sicher bestimmte Bewegungen ausgeführt werden und ob sich diese verbessern lassen.

Wie schnell siehst Du erste Veränderungen?

Viele Patientinnen und Patienten bemerken früh Unterschiede in Mundschluss, Atmung, Kraftverteilung oder bei Beschwerden wie Zähneknirschen. Größere Anpassungen brauchen Zeit, werden aber verlässlicher, wenn die Bewegungen im Mund sicherer greifen.

Was kostet Dentosophie und übernimmt die Krankenkasse die Behandlung?

Dentosophie ist eine individuelle Behandlung, deren Kosten je nach Praxis und Umfang der Übungen variieren. Gesetzliche Krankenkassen übernehmen die dentosophische Behandlung in der Regel nicht, private Versicherungen erstatten einzelne Anteile teilweise. Genauere Informationen erhältst Du direkt in der jeweiligen Praxis.

Wie findest Du eine Praxis, die Dentosophie anbietet?

Im Dentosophie-Verzeichnis findest Du Praxen, die mit der Methode arbeiten. Dort kannst Du nach Ort, Postleitzahl oder Schwerpunkt suchen und direkt Kontakt aufnehmen.